
少年儿童天性活泼好动,在成长的过程中不小心摔跤或碰撞很容易受伤。医院门诊经常遇到焦虑的家长带着手部受伤的孩子前来就诊。当听到需要做X线检查时,不少家长的第一反应是担忧辐射问题。
其实,针对儿童手部外伤,还有一种检查选择——肌骨超声。作为超声检查领域的专项技术,它能精准评估肌肉、骨关节的损伤情况,正在儿童肌骨健康守护中发挥着越来越重要的作用。
01.什么是“肌骨超声”?
肌骨超声是一项专为肌肉与骨骼系统打造的超声诊断技术,如同医学界的透视镜,能捕捉关节、软骨、肌肉、肌腱、韧带及周围神经与病变。
02.“肌骨超声”可以诊断哪些疾病?
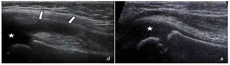
◾小儿风湿的“追踪者”:从幼年特发性关节炎到系统性红斑狼疮,再到川崎病,它都能准确评估关节腔积液、滑膜增生等病理变化,成为风湿疾病的“侦探”。
关节腔积液、滑膜增生(箭头)
◾损伤病变的“揭秘者”:肌肉、肌腱的急性外伤,或是慢性损伤的隐痛,乃至断裂、撕脱性骨折的阴影,肌骨超声都能一一提示,为治疗提供精准导向。
a患儿前臂被一尖锐物体刺伤(空箭头)后腕关节掌侧面软组织隆起。b、c远端隆起处显示桡侧腕屈肌回缩的肌腱断端(箭头)d受伤水平空虚的腱鞘。
◾肿瘤样病变的“辨识者”:关节周围的囊肿、血肿等非肿瘤性肿物,在它面前无所遁形。
腕部较大腱鞘囊肿(*)压迫正中神经(a中空箭头,b中MN)
◾周围神经病变的“洞察者”:神经卡压、病变的微妙变化,也逃不过它的敏锐目光。
03.小儿肌骨超声,五大优势护佑孩子健康
◾儿童友好:检查过程温和,无需给孩子使用镇静药物,孩子可在自然、放松的状态下配合检查。即使是天性“好动”的小朋友,也能在家长陪伴下完成动态评估。
◾安全无虞:检查全程无电离辐射,对孩子娇嫩的身体无任何潜在伤害,且无特殊禁忌人群与场景限制。
◾高效便捷:无需反复更换体位,可同时对孩子多个关节(如膝关节、肘关节、踝关节等)进行同步检查。
◾实时互动:检查过程中,医生可与家长实时沟通,同步展示超声影像;通过动态观察孩子肌骨活动状态,精准捕捉细微病变(如关节积液、肌腱损伤等)。
◾即查即知:检查结束后可快速出具诊断报告,临床医师能第一时间获取准确的检查结果,及时制定针对性诊疗方案。
